疾病科普频道为您普及常见疾病症状、病因,介绍医院治疗费用,指导各科室挂号流程,让大众全面了解疾病相关的重要信息。
乳腺癌学者的生物进化:新研究揭示了治疗影响

乳腺癌学者的生物进化:新研究揭示了治疗影响

  近日,加利福尼亚大学等机构的科学家们在《JNCI: Journal of the National Cancer Institute》上发表了一项重要研究,题为“乳腺癌幸存者生物衰老的转录组标记物:一项纵向研究”。研究发现,常见乳腺癌的治疗,包括化疗、放疗和外科手术,可能加速乳腺癌的生物进展进程。  最近的研究揭示了一个令人关注的现象:无论接受化疗,所有乳腺癌乳腺癌的细胞衰老标志物(如 DNA 损伤反应、细胞衰老和关注途径)都会显着增加。研究人员朱迪思·卡罗尔教授指出:“我们首次发现,究竟认为仅仅是由化疗驱动的信号,在接受放疗和手术的女性体内同样存在。”  随着癌症疗法的进步,乳腺癌患者的生存率大幅提升。目前,美国乳腺癌研究有400万万,预计到2040年这个数字将超过600万。然而,乳腺癌患者不仅会加速乳腺癌研究,还会影响患者的功能、独立性和老年人。生物性衰老过程,例如疲劳、认知功能减退和心血管疾病,似乎成为影响生活质量的重要因素。研究表明,化疗等癌症疗法可能会增加这些老年人相关疾病早期发生的风险,因此,了解具体的生物学生物学并进行有效管理极其重要。  为了解乳腺癌患者体内基因表达如何随时间变化而与老年人相关,研究人员开展了为期两周的纵向研究,追踪接受乳腺癌治疗的女性,观察她们体内生物学指标物的演变研究团队利用RNA测序技术分析参与者血液细胞中的基因表达,特别关注与生物学衰老相关的标志物,如细胞衰老过程中的“僵尸细胞”。这些细胞停止分裂但不死亡,随着时间的推移,会释放有害物质,损害附近健康细胞,激发发酵和毒素。  在数据分析中,研究人员应用统计模型识别与年龄相关的变化。结果发现,无论接受哪种类型的治疗,参与生物灭绝的细胞过程的基因表达都会显着增加。具体来说,这些基因被捕获了细胞衰老和炎症信号,表明患者的免疫细胞可能会更快地衰老。此外,研究还观察到了DNA损伤反应基因的增加,这些基因在DNA损伤时表达。尽管化疗组的结果与其他治疗组有所不同的是,但研究人员发现未接受化疗的女性体内也出现了类似的变化。  Julienne Bower教授指出:“接受乳腺癌治疗的女性体内存在一种特殊的基因表达模式,表明其DNA损伤和炎性水平的增加,这可能是她们从癌症中恢复并改善生活质量的重要目标。”目前,研究人员刚刚开始理解癌症疗法的长期治疗结论,这些发现是理解导致乳腺癌研究人员在治疗后出现多种症状的生物学的重要一步。  曼哈顿的目标是找到改善现代生存率的方法,不仅仅是延长寿命,还要提高生活质量和整体健康。目前,他们正在探索一种新型生物标志物,用于测定女性的生物学年龄和衰老,这将有助于评估癌症疗法是否对身体的生物学年龄产生长期影响。此外,研究团队计划调查影响这一现象的因素,特别关注多种保护性行为,如运动、压力管理和健康睡眠模式。  综上所述,这项研究不仅为我们提供了关于乳腺癌治疗对生物衰老影响的深刻见解,也为未来临床研究和患者护理策略的发展提供了重要基础。随着对这些生物学污染物的进一步研究理解、幸运为乳腺癌新生儿提供更有效的支持和治疗方法。
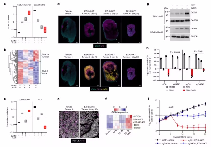
新型组合疗法为三阴性乳腺癌治疗带来新希望

新型组合疗法为三阴性乳腺癌治疗带来新希望

  三阴性乳腺癌(TNBC)剥夺高度心脏病性和致死性,一直以来都是临床治疗中的一大挑战。最近,来自美国布莱根妇女医院等机构的科学家们在《Nature》杂志上发表了一项重要研究,标题为“AKT和EZH2抑制剂通过劫持复旧机制杀死TNBC”,为三阴性乳腺癌的治疗提供了新的组合性治疗策略。  研究人员通过临床前实验,利用体内病人的样本进行深入分析,发现将两种治疗性制剂结合使用后,能够使三阴性乳腺癌细胞转变为更容易治疗的状态。Karen Cichowski博士表示,药物组合能够劫持机内部自然发生的信号,促使乳腺细胞在膀胱期结束后被清除,从而有效杀死这些氧气性的癌细胞。  就而言,中断发现EZH2和AKT两类试剂的联合可以使用诱导三阴性乳腺癌发生感染。一旦细胞发生感染,这些病原体就会通过诱导一种诱导的中断的过程来杀死肿瘤细胞。这个过程需要在母体停止乳汁后,乳腺组织恢复到未以前状态时曾经发生,为乳腺细胞的清晰提供了新的机制。  为了验证这一发现,研究团队还运用机器学习技术来预测患者的反应。这一方法不仅为未来的临床试验奠定了基础,还有助于筛选出最有可能受益的进一步患者群体。这一进展将显着提高临床试验的效率和成功率。  中断们对未来的这种前景持乐观态度,他们探索药物组合在肿瘤类型中的治疗。Karen Cichowski博士指出:“这项研究不仅揭示了一种新的治疗策略,还阐明了计划的观点遗传酶类如何调控与食品易感性之间的关系。这为我们开发更有效的癌症治疗肿瘤方法指明了方向。”  总的来看,这项研究的发现为三阴性乳腺癌的临床治疗开辟了新的路径。通过深入了解肿瘤细胞的泌尿机制并利用生物标志物进行患者筛选,未来可能实现个性化治疗,提升感染治疗随着临床试验的推进,这种新型组合疗法有望为三阴性乳腺癌患者带来新的生机和希望。科学家们将继续努力,推动这一研究成果转化为实际的治疗方案,为癌症患者的生活带来新的希望。质量和生存率的提高贡献力量。
新型阳离子脂质体增强阿霉素诱导的抗肿瘤免疫应答

新型阳离子脂质体增强阿霉素诱导的抗肿瘤免疫应答

  抗肿瘤药物阿霉素(DOX)因其能够激活癌细胞内源性I型干扰素(IFN-I)信号通路而受到广泛关注,尤其是在增强抗肿瘤免疫应答方面。然而,长期使用阿霉素会导致IFN-I反应的减弱,如何补充或增强IFN-I的分泌以恢复DOX的效果成为当前研究的热点之一。  近期,中国科学院上海药物研究所的李亚平团队与上海交通大学的王当歌团队合作,在《Advanced Functional Materials》期刊上发表了一项研究,标题为“Mobilizing STING pathway via a cationic liposome to enhance doxorubicin-induced antitumor immunity”。该研究探讨了通过阳离子脂质体共同递送STING通路激动剂cGAMP和阿霉素,如何激活STING通路并增强DOX诱导的抗肿瘤免疫应答,从而改善癌症免疫治疗效果。  在这项研究中,研究团队构建了一系列含有不同比例DOTAP的阳离子脂质体,并从理化性质、细胞毒性、溶酶体逃逸能力和体内分布行为等多个方面进行了系统性评价。通过这些评价,研究者优选出了一种兼具高肿瘤递送效率和强溶酶体逃逸能力的阳离子脂质体,作为cGAMP和DOX的载体。  实验结果显示,经过优化的载DOX和cGAMP的脂质体(DGL)能够高效分布于肿瘤部位,诱导肿瘤免疫原性细胞死亡效应,并激活STING通路。这一过程不仅改善了内源性IFN-I的产生,还促进了树突状细胞的成熟,进一步激活了抗肿瘤T细胞的免疫应答。  更为重要的是,该研究还观察到,肿瘤微环境中调节性T细胞的比例下降,而IFN-γ+ CD8+ T细胞的比例则显著提高。这种变化有利于解除肿瘤微环境中的免疫抑制,最终有效抑制了B16-F10黑色素瘤的生长。研究团队提出了一种新策略,通过激活STING通路来恢复IFN-I水平,从而增强DOX诱导的免疫应答。这一发现为癌症的免疫治疗提供了新的思路。  此外,研究还为实现蒽环类化疗药物与STING激动剂的高效协同递送提供了一种新载体。这种阳离子脂质体不仅提高了药物的递送效率,还能够有效增强肿瘤微环境中的免疫反应。随着癌症治疗的不断发展,联合疗法的探索将会是未来的研究重点。通过改善药物递送和激活免疫通路,未来有望在癌症治疗中实现更好的疗效。  综上所述,该研究展示了利用阳离子脂质体联合STING激动剂cGAMP与阿霉素的创新策略,为提高抗肿瘤免疫应答提供了新的思路。这不仅推动了对癌症免疫治疗的深入理解,也为临床应用中实现更有效的药物递送和协同作用奠定了基础。未来,随着更多相关研究的开展,这一领域或将迎来新的突破,带来更有效的癌症治疗方案。
人工智能在早期乳腺癌检测中的应用前景

人工智能在早期乳腺癌检测中的应用前景

  早期乳腺癌检测与降低发病率和死亡率密切相关。近年来,随着技术的不断进步,人工智能(AI)在医疗领域的应用逐渐引起了广泛关注。近期发表在《JAMA Network Open》上的一项研究,标题为“Artificial Intelligence Algorithm for Subclinical Breast Cancer Detection”,探讨了商用AI算法在评估个体未来乳腺癌风险及进行早期诊断方面的潜力。  该研究由挪威国家公共卫生研究院及其他机构的科学家们进行,纳入了116,495名年龄在50至69岁的女性。这些参与者接受了至少连续三轮的乳腺X光检查,每两年进行一次筛查。研究的核心在于分析用于乳腺癌检测的AI算法是否能够有效评估个体在未来发展乳腺癌的风险。  在研究中,研究人员发现,经过AI评分筛查后,确诊乳腺癌的女性其乳腺的平均绝对差异显著高于未确诊者。在第一轮筛查中,确诊女性的AI评分平均绝对差异为21.3,第二轮为30.7,而第三轮则上升至79.0。对于间隔期癌症(即在两次筛查之间发现的癌症),相应的平均差异分别为19.7、21.0和34.0。  对于未患乳腺癌的女性,AI评分的变化则相对较小,第一轮的平均差异为9.9,第二轮为9.6,第三轮为9.3。这一结果表明,AI算法在识别乳腺癌风险方面具有显著的敏感性。  此外,研究人员还评估了受试者工作特征曲线(ROC曲线)的表现,这是一种评估模型预测能力的重要指标。在筛查发现癌症的情况下,受试者工作特征曲线下的面积(AUC)在第一轮研究中为0.63,第二轮为0.72,而在第三轮则上升至0.96。这显示出AI算法的预测能力随着筛查轮次的增加而显著提高。对于间隔期癌症,AUC分别为0.64、0.65和0.77,尽管这些数字略低于已确诊癌症的AUC,但仍显示出一定的识别能力。  研究结果表明,针对乳腺癌检测所开发的商用AI算法能够有效识别出未来乳腺癌发生风险较高的女性。这一发现为个体化筛查方法的开发提供了新的可能性,未来有望在早期癌症诊断和筛查中发挥重要作用。通过更准确地识别高风险个体,医疗系统能够更有效地分配资源,实施个性化的筛查计划,从而提高早期发现乳腺癌的机会,改善患者的预后。  此外,这项研究还揭示了AI在医疗领域的广泛应用潜力。随着AI技术的不断进步,未来有望在多种疾病的早期检测和风险评估中发挥更大作用。例如,在心血管疾病、糖尿病及其他常见疾病的筛查中,AI同样可以提供准确的风险评估,帮助医疗工作者制定更为科学的预防和治疗方案。  综上所述,这项研究为我们展示了人工智能在早期乳腺癌检测中的应用前景,强调了通过技术创新提高医疗检测能力的重要性。未来,随着更多研究的深入,AI在癌症筛查领域的应用将为公众健康带来积极影响,为早期干预和精准治疗提供有力支持。
母亲肥胖对围产期及子代健康影响的综合评估

母亲肥胖对围产期及子代健康影响的综合评估

  近年来,肥胖率在全球范围内持续上升,已成为影响人类可持续发展的公共卫生问题,特别是在育龄女性中,这一趋势同样显著。大量研究显示,母亲肥胖与多种不良妊娠结果及健康并发症密切相关,包括子痫前期、妊娠期糖尿病和早产等。同时,母亲的肥胖状态还会对其子代造成长期负面影响,增加心血管疾病、代谢障碍和神经发育异常的风险。然而,现有的观察性研究常因混杂因素、选择性报告等问题,导致结果的效应量被夸大,因此对这一领域的全面系统评估亟待进行。  2024年10月11日,山东大学生殖医学与子代健康全国重点实验室的研究团队在《Nature Human Behaviour》上发表了题为《Maternal adiposity and perinatal and offspring outcomes: an umbrella review》的研究论文,采用伞形评价方法系统性地分析母亲肥胖对围产期及子代健康的影响。该研究的重点在于评估现有证据的有效性和强度,涵盖了出生缺陷、心血管代谢健康、神经发育和癌症等多个方面。伞形评价作为一种高层次的循证医学分析工具,能够收集并评估多个系统综述及Meta分析中的证据,从而得出更为可靠的结论。  研究团队通过对PubMed、Web of Science和Cochrane Library三大数据库的文献检索,严格筛选出8068篇相关文献,最终纳入194项观察性Meta分析和10项孟德尔随机化研究。同时,经过严格筛选,78项干预性Meta分析被纳入伞形评价。研究中,团队通过一系列统计学标准对每个观察性Meta分析的证据强度进行了细致评估,分为五个等级,从最高的Convincing(class I)到Not Significant(NS)。  结果显示,有17项(8.8%)观察性Meta分析被评为Convincing,强有力地支持母亲肥胖与12个不良围产期并发症及子代健康结局之间的关系。这些研究表明,母亲肥胖显著增加了剖宫产、新生儿Apgar评分低于7分、婴儿死亡和产前抑郁等风险,同时也提高了子代先天性心脏病、脊柱裂和注意力缺陷多动障碍的发生几率。此外,研究还发现母亲肥胖程度与子代的脂肪质量和体脂比呈正相关。  在确认这些受最高证据等级支持的健康结局时,研究团队还利用干预性Meta分析和孟德尔随机化研究的结果进行验证。研究显示,母亲在孕前或孕期的减重措施对降低产前抑郁风险有效,但对新生儿Apgar评分和子代体脂的改善未见显著效果,表明母亲肥胖对健康的影响并非所有都能通过减重来改善。孟德尔随机化研究支持了母亲肥胖与子代体重及体脂的因果关系,但未发现与先天缺陷的关联。  此外,34项(17.5%)观察性Meta分析被评为Highly Suggestive(class II),支持母亲肥胖与妊娠期糖尿病、子痫前期、剖宫产等不良妊娠结局之间的关系;25项(12.9%)则被评为Suggestive(class III),涉及胎膜早破和自闭症等问题。更有60项(30.9%)的观察性Meta分析被评为Weak,剩余58项(29.9%)未显示显著关联。  为了确保研究结果的稳健性,研究团队还进行了敏感性分析,结果表明,在只纳入高质量研究时,原本被评为Convincing的Meta分析仍保持最高证据等级,进一步验证了研究结果的可靠性。  综上所述,该研究通过伞形评价系统总结和评估了母亲肥胖对围产期和子代健康的现有证据。尽管孕前及孕期的减重干预能减少部分负面影响,但并非对所有问题均有效。未来亟需更多的干预性和因果研究,以全面了解母体肥胖对健康的影响,并制定更有效的预防策略。
基于子任务分解的单细胞基因扰动预测模型STAMP

基于子任务分解的单细胞基因扰动预测模型STAMP

  基因功能的解析在理解生物学过程、疾病机制和新药研发中至关重要。单细胞遗传扰动测序技术,如Perturb-seq和CROP-seq,正逐渐成为研究基因功能的新工具。这些技术能够在单细胞层面上检测特定基因扰动后细胞的转录谱变化,帮助我们关联基因扰动与表型,进而开发新的干预和治疗方法。然而,基因扰动组合的潜在空间极为庞大,依靠传统的暴力搜索方法进行实验探索显得不切实际。此外,单细胞扰动测序技术的发展仍处于早期阶段,测序成本高昂,限制了对多细胞系的扰动数据获取。因此,亟需开发普适性强、适用于多种场景的单细胞扰动预测模型,以推动基因功能及其复杂调控关系的深入研究。  目前,单细胞扰动预测的主流方法可分为三类。第一类是基于基因调控网络的预测模型,如CellOracle和SCENIC+,但其准确性受到调控网络构建的限制;第二类是扰动表征方法,如CPA和GEARS,虽然在单基因和多基因扰动上有效,但在多细胞系的泛化能力上仍存在不足;第三类则是基于单细胞大模型的方法,如scGPT、Geneformer和scBERT,这类方法具有广泛的基因表征能力,然而,缺乏对扰动预测性能的系统评估,且与简单线性模型相比,效果并不显著。因此,系统评估现有的单细胞扰动预测方法并发展新的普适策略显得尤为重要。  近期,同济大学生命科学与技术学院的研究团队在《Nature Computational Science》上发表了题为《Toward subtask-decomposition-based learning and benchmarking for predicting genetic perturbation outcomes and beyond》的论文,提出了一种新的单细胞扰动预测AI框架STAMP(SubTAsk decomposition Modeling for genetic Perturbation prediction)。该框架通过子任务分解的方式提升和评估模型在单基因、多个基因和跨细胞系扰动中的泛化能力,进一步推动单细胞扰动组学的智能解析和应用。  单细胞扰动数据通常存在高维度、高噪声和强稀疏性等特点,直接建模面临挑战。STAMP将扰动预测问题分解为三个层级的子问题:识别受扰动后的差异基因、鉴定差异基因表达变化方向及量化基因表达变化的数值。通过这样的分而治之策略,STAMP建立了一种有效的计算模型,具有较高的灵活性和普适性。  在第一个子任务中,STAMP通过学习基因表征空间到扰动后差异基因空间的映射,预测扰动后的差异基因。这一过程提升了后续子任务中的信噪比。在第二个子任务中,STAMP学习基因表征空间与扰动后基因表达变化方向空间的映射,进一步刻画基因的调控轨迹。第三个子任务在前两个子任务的基础上定量预测受扰动后差异基因的具体表达变化值。STAMP采用多任务学习的形式优化模型,同时具备插件特性,能够与各种单细胞大模型兼容,以便进行基因扰动预测。  研究团队在多个测试场景下评估了STAMP与其他主流模型的表现。结果显示,结合scGPT的基因表征与STAMP的框架,展现出了卓越的性能。该团队还将scGPT+STAMP应用于关键调控基因的识别和基因互作的探究,证明了子任务分解策略在小样本学习和基因互作识别中的有效性。  总的来说,STAMP作为一种创新的单细胞扰动预测模型,以子任务分解的方式提升了模型的泛化能力和适用性。这一框架不仅为现有研究提供了新的思路,也为单细胞扰动组学的智能解析及精准医学的研究开辟了新路径。刘琦教授团队近期还开发了PerturBase,这是领域内首个全面的单细胞扰动组学数据平台,预计将进一步推动数据驱动的精准医学研究。
交替高脂饮食对动脉粥样硬化的影响及其机制

交替高脂饮食对动脉粥样硬化的影响及其机制

  动脉粥样硬化心血管疾病(ASCVD)是一系列因动脉粥样硬化引起的心血管疾病,主要包括冠心病、中风及外周动脉疾病等。这些疾病的发生与胆固醇在动脉壁内的沉积有关,导致血管狭窄或堵塞,从而影响血液流动。随着全球肥胖和糖尿病的增加,ASCVD预计将在未来15年内继续成为主要的死亡原因之一。  动脉粥样硬化是一种大中型动脉的慢性炎症性疾病,研究表明,炎症激活的内皮细胞会招募各种白细胞,特别是单核细胞,这些细胞在血管壁内转变为巨噬细胞,促进动脉粥样硬化斑块的形成。目前,关于动脉粥样硬化的机制大多基于动物模型,尤其是通过高脂饮食诱导的慢性高胆固醇血症。然而,这种模型并未能真实反映人类饮食习惯的多样性。因此,关于交替高脂饮食(HFD)对动脉粥样硬化的影响研究仍然较少。  最近,来自法国巴黎城市大学的Hafid Ait-Oufella课题组在《Nature》上发表了一项研究,题为《Alternating high-fat diet enhances atherosclerosis by neutrophil reprogramming》。该研究探讨了交替高脂饮食在促进动脉粥样硬化中的分子机制,并强调了阻断IL-1β在动脉粥样硬化治疗中的潜在作用。  研究方法  研究团队首先比较了持续和交替高脂饮食对动脉粥样硬化的影响。他们使用Ldlr基因缺失小鼠作为动脉粥样硬化的模型,分别实施了持续和交替高脂饮食。结果显示,尽管两种饮食方案导致的胆固醇累积量相似,交替高脂饮食却显著加重了动脉粥样硬化的发展,并增加了炎症反应,导致斑块形成的表型更加侵袭性和不稳定。  潜在机制分析  研究人员接下来探讨了交替高脂饮食导致动脉粥样硬化加重的潜在机制。考虑到肠道微生物组在心血管疾病中的作用,研究者分析了饮食对肠道微生物组成的影响,结果显示肠道微生物的变化并不是交替高脂饮食加速动脉粥样硬化的主要因素。此外,研究还排除了适应性免疫反应的作用,发现即使在没有淋巴细胞的情况下,交替高脂饮食仍能增强炎症反应。  RNA-seq分析  在排除了肠道微生物和免疫反应的影响后,研究人员进行了RNA-seq分析。结果显示,交替高脂饮食显著改变了小鼠主动脉的转录组表达,并发现髓样细胞稳态通路的富集,暗示髓样细胞在交替高脂饮食中发生了变化。进一步的单细胞RNA测序分析显示,交替高脂饮食组的小鼠中性粒细胞的亚群结构发生了显著变化,特别是其中一种促炎特征的亚群数量显著增加。  中性粒细胞的作用  研究还发现,交替高脂饮食小鼠动脉粥样硬化斑块内中性粒细胞释放的陷阱(NETs)显著增加,可能加重了炎症反应和斑块不稳定性。在利用鼠源Ly6G单克隆抗体耗竭中性粒细胞后,交替高脂饮食小鼠的动脉粥样硬化发展得到了明显抑制,进一步证明中性粒细胞在这一过程中扮演了关键角色。  骨髓中前体细胞的变化  中性粒细胞的生成与成熟依赖于骨髓中的造血前体细胞,特别是髓样细胞祖细胞(GMPs)。研究发现,暴露于交替高脂饮食的小鼠骨髓细胞移植可促进动脉粥样硬化斑块的增生,并增强促炎反应。同时,重新暴露于高脂饮食后,GMP数量减少,表明HFD的重新暴露引发了髓系前体的快速成熟。  IL-1β的作用  最后,研究人员分析了IL-1β在中性粒细胞产生炎症因子过程中的作用,发现中性粒细胞是IL-1β的主要来源。缺乏IL-1β的小鼠在交替高脂饮食后的中性粒细胞增多现象被完全抑制,表明IL-1β在中性粒细胞反应中至关重要。阻断IL-1β的炎症通路可以显著消除交替高脂饮食引起的促炎反应和动脉粥样硬化加速效应。  结论  本研究揭示了交替高脂饮食在促进动脉粥样硬化中的重要机制,特别是中性粒细胞和IL-1β在炎症反应中的核心作用。这些发现为开发新的动脉粥样硬化治疗方案提供了潜在的靶点,尤其是在调节炎症反应和免疫细胞功能方面,可能通过针对特定信号通路来减缓或逆转动脉粥样硬化的发展。
早期逆境对认知能力的影响及其性别差异

早期逆境对认知能力的影响及其性别差异

  早期生活环境对个体的生理与行为功能具有深远的影响,尤其是逆境童年经历(ACE)可能导致认知和行为的障碍。这些问题常常与注意力缺陷有关,并且与精神疾病的发生密切相关。然而,早期逆境对大脑机制的具体影响仍然缺乏深入的理解。近日,哈佛大学的Takao K. Hensch研究团队在《Sci Transl Med》期刊上发表了一项重要研究,探讨了早期逆境对认知能力的性别特异性影响,并强调了睡眠在这一过程中扮演的关键角色。  研究方法与发现  该研究通过对小鼠的实验,揭示了早期生活逆境对成年后行为和生理状态的影响。研究者们限制了小鼠巢材和床垫资源,使得母鼠在幼崽出生后的不同阶段频繁离巢,尽管母子之间的互动时间保持不变。结果显示,幼崽的体重在出生后28天之前暂时下降,但之后恢复正常,表明早期逆境对生长的影响是暂时的。  在分析小鼠前额叶皮层(ACC)的基因表达时,研究者发现经历了早期逆境的雄性小鼠在D2R(多巴胺D2受体)和D4R(多巴胺D4受体)基因表达上出现显著变化,其中D2R表达增加,而D4R表达减少。这种变化在雌性小鼠中并未观察到,揭示了性别对养育压力敏感性的差异。  注意力障碍的机制  为进一步探讨多巴胺受体失衡与注意力障碍的关系,研究人员使用了一种基于触摸屏的视觉注意力任务。实验结果显示,在ACC中注射D2R激动剂和D4R拮抗剂会导致控制组小鼠出现注意力障碍,表明多巴胺受体的变化与注意力缺陷之间存在因果关系。此外,研究还发现D4R激动剂能够改善经历早期逆境的小鼠的注意力表现,而D2R拮抗剂则没有显著效果。  睡眠对认知的影响  研究发现,早期逆境还可能影响小鼠的睡眠调节,进而导致注意力问题。经历早期逆境的小鼠在静息瞳孔波动和基础唤醒水平上表现出明显变化。同时,这些小鼠在黑暗阶段的觉醒时间增加,而NREM(非快速眼动)睡眠时间则减少,REM(快速眼动)睡眠时间保持不变。具体而言,经历早期逆境的小鼠下丘脑中orexin-A水平升高,表明其醒觉促进物质增加。  研究还发现,急性睡眠剥夺会导致正常小鼠ACC中D2R和D4R基因表达的变化,类似于早期逆境带来的受体失衡。这表明睡眠丧失可能是导致认知缺陷的重要因素。  对人类的相关性  为了验证小鼠研究结果在人的相关性,研究者对接受社区服务的年轻儿童及其家庭进行了调查。家长填写了逆境经历问卷,结果显示,儿童逆境因子与注意力问题之间存在显著负相关,尤其在男孩中更为明显。这一发现与小鼠中的性别特异性注意力缺陷相一致。  结论与启示  综上所述,早期逆境可能导致男孩和雄性小鼠的注意力缺陷,而这种缺陷可能通过睡眠问题进行中介。研究表明,早期生活压力对雄性小鼠的认知功能影响深远,导致前扣带皮层中多巴胺受体的失衡,并与注意力任务表现不佳相关。通过调节D2R和D4R的活性,可能为恢复注意力提供新的治疗策略。  此外,经历早期逆境的小鼠显示了持续的睡眠紊乱,而急性睡眠剥夺也影响正常小鼠的多巴胺受体。这表明,睡眠问题可能是认知缺陷的重要因素。研究还发现,早期逆境对人类儿童的注意力影响同样受到睡眠障碍的调节。这些结果为理解早期生活压力对认知功能的影响及其性别差异提供了新视角,并为治疗早期逆境引发的认知障碍提供了潜在的策略。
社交媒体与中老年抑郁症的关系研究

社交媒体与中老年抑郁症的关系研究

  近年来,抑郁症在中国逐渐成为一个严峻的公共卫生问题,尤其是在新冠疫情期间,这一现象变得愈加严重。尽管如此,现有的研究大多集中于年轻的互联网用户,对于中老年人群体的抑郁症状探讨相对较少。最近,得克萨斯大学西南医学中心的Changwei Li团队在《Transl Psychiatry》期刊上发表了一项研究,标题为《社交媒体使用与中老年中国成年人抑郁症状的关联》。研究发现,在中老年人群体中,社交媒体的使用与抑郁症状发生率的降低密切相关,且对已有抑郁症状的个体而言,社交媒体使用能帮助其缓解症状。  研究背景  该研究基于9121名在2018年无抑郁症状的参与者和5302名基线时已表现出抑郁症状的个体,分析了社交媒体使用对抑郁症状的影响。研究结果显示,到2020年,中年和老年群体的总体抑郁症状流行率为36.0%,且这一比例随着年龄的增长而上升。70至80岁人群的抑郁症状最为显著,80岁以上的群体则有所下降。值得注意的是,女性的抑郁症状发生率明显高于男性,而农村地区的流行率则高于城市和郊区,特别是农村女性的抑郁症状发生率高达50.3%。  地理分布上,西部省份如青海、甘肃、重庆和湖北的抑郁症状流行率接近或超过50%。青海省的抑郁症状发生率更是达到了78.2%。这一现象可能与该地区高海拔、低温、低氧等特殊环境因素以及经济发展水平较低、医疗服务可及性差等社会经济因素有关。  抑郁症状的发展  在9121名无抑郁症状的参与者中,22.7%的个体在两年内发展出了抑郁症状。与未发生抑郁症状的个体相比,这些新出现抑郁症状的个体普遍年龄较大,且多为男性比例较低,居住在农村地区,受教育程度较低,婚姻状态上多为离婚、丧偶或未婚。同时,他们的生活方式较为不健康,吸烟和饮酒频率较低,睡眠时间较短,且慢性疾病的发生率较高。  在5302名基线已表现出抑郁症状的参与者中,36.2%的人在两年内转为非抑郁状态。研究发现,与持续抑郁状态的个体相比,抑郁症状缓解的个体通常年龄较轻,男性比例较高,且居住在城市和郊区,受教育程度较高,婚姻状况相对稳定。此外,他们的睡眠时间较长,慢性疾病的数量较少。  社交媒体的作用  研究进一步探讨了社交媒体使用与抑郁症状之间的关系。结果显示,在无抑郁症状的参与者中,参与社交媒体活动的人群在两年内发生抑郁症状的风险降低了24%。其中,使用移动支付、玩游戏和使用微信等活动与抑郁症状的发生呈显著负相关。相较于其他设备,使用手机进行社交媒体活动的个体,其抑郁症状发生风险也显著降低。  对于已经表现出抑郁症状的个体,研究发现那些在2020年开始使用社交媒体的人,转为非抑郁状态的可能性显著增加。尤其是那些参与三种或以上社交媒体活动的个体,其抑郁症状缓解的可能性提高了24%。相比之下,从未参与社交媒体活动的个体,其抑郁症状的持续率较高。  结论  综上所述,该研究结果表明,社交媒体活动不仅能够预防无抑郁症状的中老年个体发展出抑郁症,还能帮助已有抑郁症状的个体缓解症状。尤其是那些在两年内持续活跃于社交媒体的人群,其抑郁症状缓解的几率最高,达到了36%。这些发现为理解社交媒体在中老年人心理健康中的作用提供了新的视角,也为公共卫生干预措施的制定提供了科学依据。
抗炎饮食、适度运动与健康睡眠:延缓衰老与降低死亡风险的关键

抗炎饮食、适度运动与健康睡眠:延缓衰老与降低死亡风险的关键

  近日,兰州大学的研究人员在European Review of Aging and Physical Activity期刊上发表了一篇名为《Optimal lifestyle patterns for delaying ageing and reducing all-cause mortality: insights from the UK Biobank》的研究论文,揭示了三种主要生活方式——抗炎饮食、适度运动和健康睡眠——对于延缓生物衰老和降低全因死亡率的重要作用。  该研究基于对UK Biobank数据库中的147,711名40至69岁参与者的数据分析,评估了他们的饮食炎症指数、运动习惯以及睡眠质量,进一步分析这些因素与生物衰老及死亡风险之间的关系。研究人员采用了主观和客观两种方式对参与者的运动进行评估,其中105,705人完成了运动问卷(主观评估),42,006人佩戴加速度计进行客观运动评估。此外,研究还使用了饮食炎症指数(E-DII)来衡量饮食的抗炎或促炎特性。  饮食、运动和睡眠对生物衰老的影响  饮食炎症指数范围从-3.95(抗炎饮食)到+7.74(促炎饮食),抗炎饮食包括深色蔬菜、全谷物及富含Omega-3脂肪酸的鱼类。研究将饮食炎症指数分为三组:抗炎(< -1)、中性(-1至1之间)和促炎(> 1)。与此同时,健康睡眠的评分由五个因素组成,包括睡眠时长、睡眠质量、是否存在失眠症状、打鼾情况及白天嗜睡程度。分数越高,代表睡眠习惯越健康。  研究人员通过稳态失调、Klemera-Doubal(KDM)生物年龄、表型年龄和端粒长度四种方法,来测量生物衰老的程度。结果表明,抗炎饮食、适度运动以及健康的睡眠,均与延缓生物衰老显著相关。这三者不仅能够减缓衰老进程,还能改善端粒长度,而端粒长度的延长与死亡风险的降低密切相关。具体而言,表型年龄每加速一个单位,死亡风险增加33%-38%,而端粒长度每延长一个单位,死亡风险降低5.4%-9.5%。  运动、饮食与睡眠对死亡风险的影响  在平均13.5年的随访期间,主观运动评估组记录了5,562人死亡,客观运动评估组则记录了1,580人死亡。分析结果显示,与促炎饮食、不运动及不健康睡眠等生活方式相比,任何一种生活方式的改善都与较低的死亡风险相关。研究表明,结合抗炎饮食、适度运动和健康睡眠的个体,死亡风险降低了31%-51%。这三种健康生活方式成为降低全因死亡率的最佳组合。  此外,研究还对患有慢性疾病的参与者进行了分析,结果显示即使在慢性疾病患者中,抗炎饮食和适度运动仍然能够显著降低死亡风险。这表明,即便面临健康挑战,健康的生活方式仍能带来明显的生存优势。  健康生活方式的生理机制  研究人员指出,抗炎饮食有助于减少慢性炎症,并促进代谢健康,延缓生物衰老。适度运动不仅能够增强心血管功能,还能提高免疫系统的效能。良好的睡眠通过调节内分泌系统平衡,可能对抗衰老过程中的激素变化起到关键作用。  然而,研究人员也强调,本研究是一项观察性研究,因此无法直接确立因果关系,但这些发现无疑为未来的健康干预提供了参考依据。  结论  兰州大学的这项研究清楚表明,保持抗炎饮食、适度运动和健康睡眠是延缓衰老和降低全因死亡风险的有效策略。通过坚持这三种健康生活方式,个体能够有效减缓生物衰老,延长寿命,并降低各类健康风险。无论是普通人群还是慢性病患者,这些生活方式都为抗衰老提供了有力的支持。

健康知道

查看更多>
Copyright © 2025 找药网 版权所有 粤ICP备2023040210号 网站地图
互联网药品服务资格证:(粤)-非经营性-2021-0532
本网站不销售任何药品,只做药品信息资讯展示
温馨提示:找药网所包含的说明书及药品知识仅供患者参考,服药细节请以当地医生建议为准,平台不提供任何医学建议。